変形性足関節症とは
変形性足関節症は、足首の痛みによって歩行が困難になるもっとも代表的な足の病気です。原因としては、繰り返す捻挫、骨折、関節リウマチなどに起因する場合が多いといわれています(二次性)が、明らかな原因がなく発症することもあります(一次性)。
長い年月をかけ徐々に関節表面の軟骨がすり減って、あるとき急に痛みがでることがあります。本邦では、距骨が傾き内側の関節の隙間が狭くなる内反型が多いです。
これらは捻挫後の慢性の足関節不安定症と深く関与しているといわれています。
変形性足関節症の治療
変形性足関節症の保存療法は、痛み止めの内服、杖の使用、減量、アキレス腱・腓腹筋などのストレッチ、足底挿板や足首のサポーターなどの装具療法などの保存療法をまず行います。特に、内反型では外側Wedge(外側が高くなっている底板)をつけた足底挿板が有効だといわれています。
しかし、一定以上の重症度の変形性足関節症では足底挿板では不十分で、軟性・半硬性の短下肢装具、ロッカーボトム型の靴などが必要になります。

外側Wedge付き足底挿板
変形性足関節症の手術療法は、主に低位脛骨骨切り術、足関節固定術、人工足関節置換術に大別されます。
低位脛骨骨切り術は、脛骨を骨切りし関節の形を変えることで、関節の傾きを調整して骨同士の接触の偏りを矯正します。
一般的に関節軟骨が内側に限局された中等度までの関節症に適応になります。当院では、60歳以下の内反型の患者さんを中心に行っています。
入院期間は1~2週間程度で、松葉杖を使用し患肢免荷(手術した足を床につかない)で退院します。術後4~6週程度から短下肢装具を使用し、足を荷重した歩行を開始します。

術前 術後
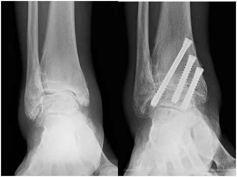
足関節固定術は、最も一般的な変形性足関節症の手術療法です。残存する軟骨を削り、スクリューなどで足関節を固定します。
足は距骨下関節や距舟関節などの多くの隣接関節を有しているため、足関節固定術後も後足部の可動域は残存します。
症例によっては、関節鏡を使用して軟骨を削る低侵襲な手術(関節鏡下足関節固定術)が可能です。
当院では、変形が重度な若年例、ご高齢で人工足関節置換術の合併症リスクが高いと判断される方(糖尿病を合併している方、肥満が強い方、浮腫の強い方など)に主に鏡視下足関節固定術を行っています。
入院期間は、若い方は松葉杖免荷での退院が可能なので1~2週間程度、ご高齢の方は1か月半程度です。術後4~6週程度から短下肢装具を使用し、足を荷重した歩行を開始します。

術前 術後
人工足関節置換術は、足関節を人工のインプラントに置換術手術法です。近年、本邦でも適応がひろがっています。
関節固定術に比較して足関節の動きを残せる利点があります。当院では、2018年から本邦で使用可能になった外側進入型人工足関節置換術を主に行っています。
腓骨骨切りを行い、外側からインプラントを挿入する方法で、骨を削る量を少なくすることが可能な手術法です。
通常は、手術後2週程度から短下肢硬性装具を使用して歩く訓練を開始し、1か月程度退院となります。当院ではご高齢の方を中心に積極的に取り組んでいます。

術前 術後
当院では長年にわたり変形性足関節症の治療を行い、病態、装具療法、手術療法について経験と知見を構築してきました。
これらの経験と知見から、手術の術式、装具の種類など様々な治療を提案いたします。
変形性足関節症の痛みにより生活に不便を感じる方はぜひ一度ご相談ください。
当院医師から発表した変形性足関節症に関する論文・雑誌記事
・小久保 哲郎, 橋本 健史, 池澤 裕子, 関 広幸, 須田 康文.足関節アライメント矯正を併用した人工足関節置換術の術後成績.日本足の外科学会雑誌38巻1号, 159-163, 2017.
・小久保哲郎.【ポイント解析 整形外科診断の基礎知識】下肢疾患 変形性足関節症の診断.Orthopaedics 30巻10号, 233-238, 2017.
・小久保哲郎,橋本健史,関広幸.人工足関節置換術と鏡視下足関節固定術の手術成績の比較.日本足の外科学会雑誌40巻1号, 135-139, 2019
・関広幸, 須田康文: 5) 装具療法. 第4章変形性足関節症の外来診療 2. 保存療法. 下肢変形性関節症の外来診療, 内尾祐司編, 193-198, 2019.
・Hiroyuki Seki, Naomichi Ogihara, Tetsuro Kokubo, Yasunori Suda, Ken Ishii, Nagura Takeo. Visualization and quantification of the degenerative pattern of the talus in unilateral varus ankle osteoarthritis. Scientific Reports 9:17438, 2019.
・関広幸、小久保哲郎.変形性足関節症の装具療法の治療成績―SAFE-Qによる手術療法との比較検討―. 日本足の外科学会雑誌41巻1号, 32-35, 2020
・Hiroyuki Seki, Naomichi Ogihara, Tetsuro Kokubo, Nagura Takeo. Visualization and quantification of the degenerative pattern of the distal tibia and fibula in unilateral varus ankle osteoarthritis. Scientific Reports Nov 3;11(1):21628, 2021.
・関広幸. 変形性足関節症の保存療法:①インソールや足関節装具を用いて, Monthly Book Orthopaedics 2023年10月号(Vol.36 No.11),谷口晃編,全日本病院出版会,9-17, 2023.
・Hiroyuki Seki, Nozaki Shuhei, Naomichi Ogihara, Tetsuro Kokubo, Nagura Takeo. Morphological features of the non-affected side of the hindfoot in patients with unilateral varus ankle osteoarthritis. Annals of Anatomy Feb252:(in press),2024.
・Hiroyuki Seki, Tetsuro Kokubo. Longitudinal observation of distal tibial degeneration in varus ankle osteoarthritis using plain radiograph. Foot and Ankle Surgery Sep19:(in press),2024.