外反母趾の診断と症状
足の親ゆび(母趾)が外側に曲がった(外反)状態を外反母趾とよびます。一般的には、立位での足のレントゲン写真で、母趾基節骨と中足骨の軸の角度が20度以上の場合、外反母趾と診断します。
40度以上で重度とすることが多いです。
外反母趾では、靴着用時の母趾の付け根の内側に出っ張った部分の痛みを訴えられる方が多いのですが、母趾以外のゆびにも変形があるとそれらのゆびが靴にあたる部分や、足裏にできたタコの部分に強い圧がかかり痛みが出ることもあり症状は様々です。
65歳以上の3割は外反母趾といわれており、外反母趾だけで歩けなくなることは基本的にありません。

外反母趾を有する足

足の裏の胼胝(べんち)
外反母趾の治療
治療はまず保存療法を行います。症状によって治療は異なります。靴着用時の痛みであれば、靴の履き方の指導をまず行います。その上で足底挿板をいれていただき、足と靴のフィッティングをよくし、靴と足の擦れを軽減させることで痛みを緩和します。
また、変形が軽度な例では、運動療法での変形矯正効果があるといわれています。
足のゆびを曲げたり開いたりする運動(グーパー運動)、タオルを床に敷いて足のゆびでタオルをたぐり寄せることで足のゆびの筋力を鍛える運動(タオルギャザリング)、足首周りのストレッチなどを行います。
第2趾や第3趾の変形に起因する足底の有痛性胼胝を認める場合は、まずは胼胝の切除が一時的な除痛に有効です。ただし、変形に起因する胼胝は繰り返し発生してしまうので、突出部の除圧を行った専用の屋内靴の使用などが必要になります。
そのような場合は、手術が積極的に提案されます。
運動や装具で痛みが取れない場合や変形の矯正を望む場合は、手術を検討します。
手術は、矯正骨切り術を行っております。多くの場合、母趾だけでなく、第2趾や第3趾の骨の骨切り術も必要になります。
当院では小さい皮膚切開で手術が可能な低侵襲手術に積極的に取り組んでいます。
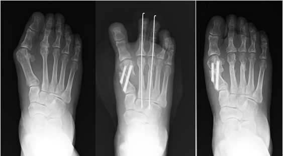
最も多い手術は、低侵襲手技での第1中足骨遠位骨切り術および第2・3中足骨短縮骨切り術です。小さい皮膚切開で第1中足骨を骨切りし、骨の形を変化させ、Screwで固定します。第2・3中足骨は短縮させて、ゆびの先からワイヤーを留置しておきます。外反母趾が超重度な症例や中足骨の根元の関節が痛んでいる症例では、関節固定術が検討されます。

術前 術直後 術後半年
入院期間は、4日~2週間程度になります。術後4~6週間程度は特別な靴を使用し、手術した部分に負荷をかけないように歩いていただきます。
手術の方法によっては、ワイヤーが足のゆびの先から出ていますので、術後4週でワイヤーを外来で抜きます。術後8週程度から通常歩行を許可しています。
ゆびの動きが悪くなる、特定の靴は履くのは難しいといった手術の限界もありますので、よく相談の上、治療方針をきめていきます。
当院では長年にわたり外反母趾の治療を行い、病態、装具療法、手術療法について経験と知見を構築してきました。外反母趾の痛みにより生活に不便を感じる方、変形の矯正を望む方はぜひ一度ご相談ください。
当院医師から発表した外反母趾に関する論文・雑誌記事
・Tetsuro Kokubo, Takeshi Hashimoto, Yasunori Suda, Akeo Waseda, Hiroko Ikezawa. Radiographic shape of foot with second metatarsophalangeal joint dislocation associated with hallux valgus. Foot and Ankle International 38(12):1374-1379, 2017.
・小久保哲郎, 橋本健史, 池澤裕子, 星野達, 須田康文. 第2MTP関節脱臼を伴う外反母趾の足部形態 X線学的研究.日本足の外科学会雑誌38巻1号,149-153,2017.
・小久保哲郎, 橋本健史, 池澤裕子, 星野達, 須田康文.外反母趾に合併する第2MTP関節脱臼の手術成績. 日本足の外科学会雑誌38巻1号, 154-158,2017.
・小久保哲郎, 橋本健史, 池澤裕子, 星野達, 須田康文足部形態による外反母趾の新しい分類.日本足の外科学会雑誌38巻1号, 164-168, 2017.
・関広幸, 池澤裕子,須田康文. 外反母趾に対するdistal liner metatarsal osteotomy, 整形外科(特集),四肢関節骨切り術, 南江堂, 893-899, 2017
・関広幸, 須田康文. 外反母趾に対するDLMO法, 整形外科サージカルテクニック, 外反母趾の手術スペシャリストの技と知恵を学ぶ, メディカ出版, 6:13-18, 2017
・関広幸, 須田康文, 竹島憲一郎, 早稲田明生, 池澤裕子. 外反母趾に併発した第2-4趾MTP関節脱臼に対するDLMO法と遠位中足骨斜め骨切り術の成績. 日本足の外科学会雑誌38(1):12-16, 2017
・Hiroyuki Seki, Yasunori Suda, Kenichiro Takeshima, Tetsuro Kokubo, Ken Ishii, Masaya Nakamura, Morio Matsumoto, Yasuo Niki. Minimally invasive distal linear metatarsal osteotomy combined with selective release of lateral soft tissue for severe hallux valgus. Journal of Orthopaedics Science 23(3): 557-564, 2018
・関広幸, 須田康文. 外反母趾に対する小侵襲手術(DLMO法), OS NEXUS 19 足・足関節の最新の手術, メジカルビュー社, 2-9, 2019
・関広幸. Part III 治療 外反母趾低侵襲手術,外反母趾-病態を理解し,正しい治療選択ができる,須田康文編,メジカルビュー社,162-168, 2019
・Hiroyuki Seki, Satoshi Oki, Yasunori Suda, Kenichiro Takeshima, Tetsuro Kokubo, Takeo Nagura, Ken Ishii. Three-dimensional analysis of the first metatarsal bone in minimally invasive distal linear metatarsal osteotomy for hallux valgus. Foot and Ankle International 41(1)84-93, 2020.
・小久保哲郎, 橋本健史, 池澤裕子, 竹島憲一郎, 関広幸. 外反母趾を伴った第2、3足根中足関節症の手術成績.日本足の外科学会雑誌41巻1号, 10-13, 2020.
・小久保哲郎, 橋本健史, 池澤裕子, 竹島憲一郎, 関広幸.重度外反母趾の手術成績.日本足の外科学会雑誌41巻1号, 170-173, 2020.
・関広幸, 小久保哲郎. 外反母趾進行に伴う扁平足進行の評価. 靴の医学 35(2): 82-86. 2021
・関広幸. 整形外科学レビュー2021-’22, 外反母趾. 監修松本守雄, 総合医学社, 207-213, 2021
・Hiroyuki Seki, Yasunori Suda, Kenichiro Takeshima, Masaki Nagashima, Ken Ishii. Patient-reported outcomes of minimally invasive distal linear metatarsal osteotomy for hallux valgus. Journal of the American Podiatric Medical Association (JAPMA) Jul-Aug;112(4):21-186,2022.
・関広幸. 特集足関節・足部疾患とロコモ クリニカルクエスチョン②外反母趾に対する低侵襲手術の適応と限界, LOCO CURE 2022年5月号(Vol.8 No.2), 田中栄編, 先端医学社, 43-47, 2022.
・小久保哲郎, 橋本健史, 竹島憲一郎, 関広幸. 外反母趾手術における外側軟部組織解離の有効性に関する定量的研究.日本足の外科学会雑誌43巻1号,36-40,2022.
・小久保哲郎, 関広幸. 外反母趾に併発した第2MTP関節脱臼・亜脱臼に対する手術の効果 軟部組織修復は必要か.日本足の外科学会雑誌45巻1号, 54-57, 2024.