靭帯損傷(足関節)
足首の捻挫後になかなか痛みが取れない方がいらっしゃいます。一口に捻挫といっても、足首を捻ったことによりその周辺に様々な障害が引き起こされます。捻挫により一番損傷を受けやすいのは足首の外側の靭帯です。靭帯はそもそも関節において向かい合った骨同士がグラグラしないように安定させるバンドのようなものですが、軽微な損傷である場合には多くはそのまま治癒すると考えられます。しかし、損傷がひどく靭帯が完全に断裂してしまっている場合、放置していると靭帯が断裂したままの状態となり関節の不安定性(向かい合った骨同士がお互いにグラグラしている状態)を引き起こします。これがいわゆる“捻挫が癖になった”状態です。

足関節が不安定な状態(足首を内側に捻ると関節の外側が開いている)
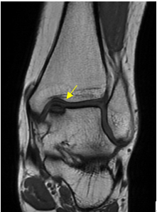
また、捻挫後に痛みが取れない別な原因として、捻挫の時に足首の関節を構成する骨同士が衝突した結果、“骨のうちみ”を生じていることがあります。
これは距骨骨軟骨障害(離断性骨軟骨炎)といわれるものですが、これは一般的なレントゲン撮影では見えにくいため、MRIやCTなどで確認する必要があります。

MRIで確認される距骨骨軟骨障害(矢印部)
足首の不安定性がある場合には、機能訓練と筋力訓練からなるリハビリテーションが重要です。
このリハビリテーションでは捻挫して足が傾いたとき、その傾きをいち早く感知して元に戻そうと指令を出す神経を敏感にすることと、実際にその傾きを戻そうと働く筋肉を鍛えることを目的としています。
リハビリテーションを一定期間行っても、不安定感が改善しない場合に、靭帯再建術を検討します。
関節鏡を使用して、靭帯を骨に縫い縮める手術です。靭帯が弱くなってしまっている場合は、人工の靭帯で補強します。足首の安定性は、靭帯と筋肉の両方で保たれるので、手術後のリハビリテーションが症状改善には大事です。手術は1週間以内の入院で行います。
通常は、ギプスを1~3週程度装着し、その後、装具で歩行訓練を開始します。
距骨骨軟骨障害に対しては、小さい病変では関節鏡を使用した侵襲の低い手術で対応が可能ですが、病変が大きかったり骨欠損を生じたりしている場合には骨の移植が必要となることもあります。
具体的には膝から軟骨と骨の柱を採取し、距骨の損傷した部位に移植します。手術後は4~6週間ほど体重をかけないで松葉杖で生活していただきます。