腹壁瘢痕ヘルニアとは
腹壁瘢痕ヘルニアは、過去の手術後に腹壁の瘢痕部位が弱くなり、その部分から内臓が突出する状態を指します。このヘルニアは、腹部の手術後に発生することが多く、術後の傷が完全に癒合しない場合に起こります。
原因
腹壁瘢痕ヘルニアの主な原因は、腹部手術後の瘢痕部の脆弱化です。以下の要因が関与することがあります。術後の感染症:傷が感染すると、正常な治癒過程が妨げられ、瘢痕が脆弱になります。
肥満:高い腹圧が瘢痕部に過度の負担をかけるため、ヘルニアのリスクが増加します。
過度の運動または活動:手術後の安静期間中に重い物を持ち上げたり、激しい運動をしたりすることで瘢痕部が再び開くことがあります。
栄養不良:バランスの悪い栄養状態は、傷の治癒過程に悪影響を及ぼします。
喫煙:喫煙は血流を悪化させ、傷の治癒を遅らせる原因となります。
症状
腹壁瘢痕ヘルニアの症状は、ヘルニアの大きさや位置によって異なります。一般的な症状には以下が含まれます。腫れ:ヘルニアが存在する部位に腫れが見られます。特に立ち上がったり咳をしたりすると、腫れが明らかになることがあります。
痛み:ヘルニア部位に痛みや不快感が生じることがあります。痛みは、活動や運動によって悪化することがあります。
腸閉塞:ヘルニアが大きくなると、腸が圧迫されて通過障害が発生することがあります。この場合、緊急手術が必要となることがあります。
消化不良:ヘルニアによって消化器官が圧迫されるため、消化不良や便秘が生じることがあります。
診断方法
腹壁瘢痕ヘルニアの診断には、主に以下の方法が用いられます。視診と触診:医師が患者の腹部を視診し、腫れやヘルニアの存在を確認します。
画像診断:超音波検査やCTスキャンを使用して、ヘルニアの位置や大きさを詳細に評価します。
治療方法
腹壁瘢痕ヘルニアの治療には、主に以下の方法があります。保存的治療:ヘルニアが比較的小さい場合、特別なサポート用の腹部バンドを使用して症状を緩和することがあります。
手術:ヘルニアが大きい場合、外科的修復が必要となります。手術では、瘢痕部を強化し、ヘルニアを修復するためにメッシュを使用することが一般的です。
腹壁瘢痕ヘルニアは放置すると嵌頓のリスク、ヘルニア門の経時的増大による腹腔内臓器脱出でのQOLの低下などがあり、手術適応となります。
手術後の回復には数週間から数ヶ月の期間が必要であり、その間には重い運動や活動を避けることが推奨されます。
腹壁瘢痕ヘルニアは、手術後の管理と予防が重要な疾患です。
適切な治療と予防策を講じることで、患者の生活の質を向上させることができます。
手術方法
当院外科では腹壁瘢痕ヘルニア根治術を腹腔鏡下に行っています。従来は腹腔内からメッシュを当てるIPOM-plus(Intra Peritoneal Onlay Mesh)法が主流でしたが、2023年12月にeTEP-RS(extended-viewed Totally Extra-Peritoneal approach-Rives Stoppa法)/TAR(transverse abdominis release)(以下eTEP)という術式を導入しました。
eTEPは場合により腹横筋切開による減張を加えてヘルニア門を閉鎖し、メッシュを筋肉の後ろ側に置く手技になります(図1.メドトロニック社より提供改変)。
メリットとして、術後疼痛が少ない、腹腔内にメッシュを留置しないことから腹腔内臓器とメッシュの癒着がない、次の腹部手術の際の腸管損傷リスクが少ない、大きなヘルニア門でも閉鎖が可能、などが挙げられます。
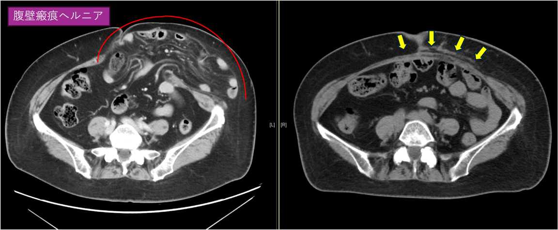
代表的な一例の術前・術後CTを示しますが、きれいに脱出腸管が収納されヘルニアが修復されています(図2)。

図1:eTEP-TARにおけるメッシュの挿入位置

図2(CTスキャン):腹壁瘢痕ヘルニア(赤線)、修復後(黄色矢印)
当院外科における腹腔鏡下腹壁瘢痕ヘルニア手術
2023年度 | 2024年度 | |
手術件数(総数) | 19 | 14 |
eTEP-RS/TAR | 8 | 13 |
IPOM-plus | 11 | 1 |
読み上げ音声1 ※上記テキストの読み上げ音声が再生されます。
この音声は動画制作会社VIDWEBのボイスゲートを利用しています読み上げ音声2 ※上記テキストの読み上げ音声が再生されます。
この音声は動画制作会社VIDWEBのボイスゲートを利用しています